******中国·tyc41183太阳成集团(股份)有限公司-Official website

新闻动态

动物医学院猪病研究中心在猪δ冠状病毒致病机制方面取得新进展

点击数:2023-12-14 22:26:18 来源: 动物医学院

近日,动物医学院猪病研究中心黄小波课题组在自然指数(Nature index)期刊Journal of Biological Chemistry发表题目为“HSP90AB1 is a host factor that promotes Porcine deltacoronavirus replicationHSP90AB1是促进猪δ冠状病毒复制的宿主因子)的研究论文(链接:https://www.sciencedirect.com/science/article/pii/S0021925823025644?via%3Dihub)。本研究发现HSP90AB1是影响猪δ冠状病毒(Porcine deltacoronavirusPDCoV)增殖的一个重要宿主因子,参与维持病毒N蛋白稳定性,防止其通过蛋白酶体途径降解。

 

猪δ冠状病毒(PDCoV)是一种新型的猪肠道冠状病毒,主要引起哺乳仔猪腹泻和死亡,近年本病毒在我国猪群传播迅速,大部分省份的猪场均有流行,且呈现不断增多的趋势,同时本病毒还具有广泛的跨种传播特性和潜在的公共卫生风险。迄今,有关PDCoV的致病机制尚不完全清楚,基于病毒与宿主的互作解析PDCoV致病机制是近年本病毒的研究热点。

 

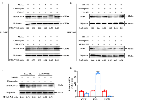
本研究为了挖掘影响PDCoV感染的关键宿主因子,通过CRISPR/Cas9全基因组筛选技术和高通量测序,发现宿主因子HSP90AB1PDCoV感染细胞中被显著富集,细胞中敲除HSP90AB1显著下调病毒增殖水平,且HSP90AB1 ATPase活性参与病毒增殖过程。HSP90AB1可与病毒NNS7NSP10蛋白互作,N蛋白c-tail结构域是与HSP90AB1互作的结构域。此外,研究还发现HSP90AB1通过蛋白酶体途径参与调节N蛋白稳定性,进而影响病毒的增殖。总之,本研究发现并系统揭示了HSP90AB1PDCoV致病机制中的重要作用,有助于丰富PDCoV的致病机制理论,也为开展PDCoV抗病毒研究提供新的宿主靶点。

 

 

 

HSP90AB1参与病毒增殖过程

 

 

 

HSP90AB1参与维持N蛋白稳定性

 

预防兽医学博士研究生赵玉佳为论文第一作者,黄小波教授和曹三杰教授为论文的指导老师。本研究得到了国家自然科学基金( No.32172888)等项目的资助。

 

近年,猪δ冠状病毒(PDCoV)在我国猪场传播越来越多,危害越来越严重,我校猪病研究中心持续聚焦PDCoV的基础与应用攻关研究,在病原分子流行病学、致病机制、诊断技术与疫苗开发、临床控制方案等方面取得系列创新成果,迄今已在International Journal of Biological MacromoleculesVeterinary microbiology、畜牧兽医学报等国内外期刊发表论文26篇(其中SCI论文13篇)。